Ensuring good oral health requires consistent and thorough preventative care. This includes brushing and flossing regularly, using fluoride toothpaste, and making sure to schedule and attend biannual checkups and cleanings with a reputable dental office. By following these steps, you can maintain a healthy, vibrant smile and prevent potential oral health issues. Our team is dedicated to supporting you at every step of your oral health journey.
Restorative dentistry focuses on revitalizing your smile by repairing or replacing damaged or missing teeth. Through these procedures, we aim to restore your teeth’s natural function while preventing further damage, ultimately leading to a happier and healthier smile.
At Sallisaw Dental Care, we provide a range of oral surgery procedures to meet our patients’ needs. From extractions to implants and bone grafts, our skilled team is dedicated to delivering high-quality care and helping you achieve optimal oral health.
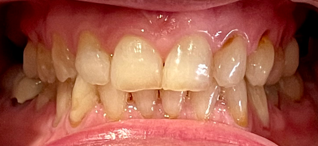
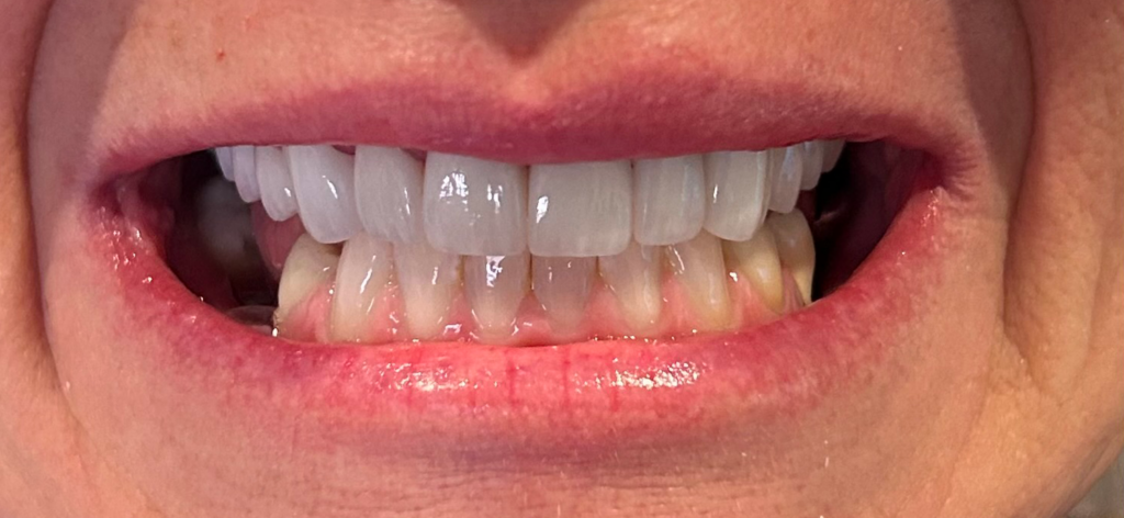
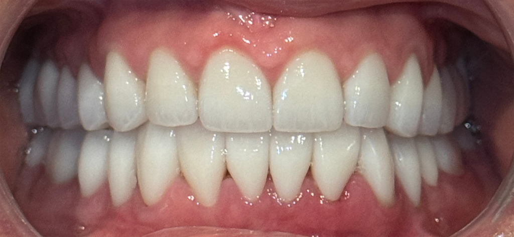
Cosmetic dentistry is a specialized field that prioritizes enhancing the appearance of your teeth and overall smile. It offers numerous benefits, including effectively correcting dental imperfections, restoring appearance and confidence, improving functionality, and delivering long-lasting, natural-looking results.

No more goopy impressions here….digital scanning is an incredible technology for capturing images of the mouth for fabrication of crowns, Invisalign trays, nightguards and retainers, 3D surgical guides, and more!

Dr Gray utilizes a CO2 laser for many procedures for a noninvasive and safer approach to treatments such as gum recontouring, frenectomies, fibroma removal, cold sore treatment, crown lengthening, and periodontal therapy.

A Cone Beam CT Radiographs are a 3D image for best diagnostic quality radiography, the standard of care for implant dentistry. Drs Gray and Dotson gain a wealth of knowledge from a CT scan and can diagnose and plan with excellent imaging to best save and protect your teeth

Guided implant placement for accurate / combines CT radiographs and 3D scans to plan a surgical stint for extremely precise implant placement

Precise occlusal equilibration can be achieved with the Tek scan machine. Drs can evaluate the strength and timing of every contact in a patients bite to equilibrate and harmonize the bite for comfort and longevity of teeth.